שיניים צהובות עם כתמים לבנים, ומרווחים גדולים ביניהן
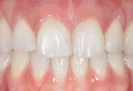
שיניים צחורות ללא כתמים. המרווחים למעלה נסגרו לחלוטין ע"י ציפויי חרסינה, ולמטה צומצמו משמעותית בשיטה המיוחדת שלנו
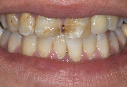
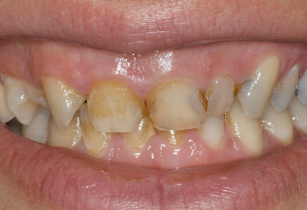
שיניים עם כתמים לבנים וחומים, לא סימטריות ומעט עקומות
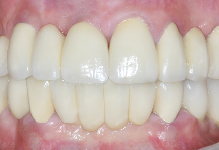
חיוך מדהים, עם שיניים לבנות, סימטריות וישרות
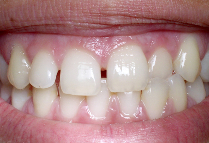
מרווחים עצומים בשיניים העליונות, וצבע צהבהב למדי
השיניים הולבנו והמרווחים נעלמו לחלוטין, בשיטה המיוחדת שלנו
כתרים שלא נראים טוב, וביניהם שיניים צהובות-חומות
הכתרים הוחלפו, ונעשו ציפויי חרסינה על השיניים שהיו ללא כתרים. שימו לב לשילוב המדהים בין הכתרים והציפויים
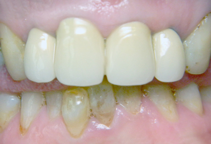
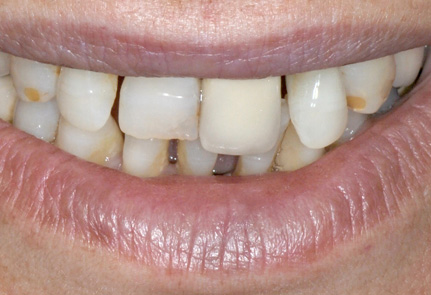
חיוך 'לא מזמין' עם כתר עליון שמיד מבחינים בו, ושיניים צהובות למדי
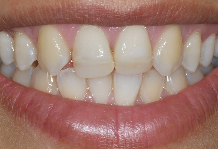
חיוך צחור, שנראה אחיד טבעי ו'מזמין'
שתי שיניים שבוצעה בהן השלמה שבולטת לעין, וחוסר סימטריה ביניהן, וגם ניבים מחודדים ולא 'נשיים'
שני ציפויי החרסינה וההלבנה מקנים מראה נשי מושלם וטבעי
שיניים שבורות, חומות, עקומות ולא סימטריות. נראים יותר מדי חניכיים בזמן חיוך
חיוך אסתטי ולבן, והחניכיים נראים בדיוק במידה הנכונה
כתרים לא אחידים בצורה ובצבע, וגם ההרמוניה שלהם לא טובה
הכתרים החדשים אחידים לגמרי, נראים טבעיים לחלוטין, וכלל לא ניתן להבחין שקיימים כתרים
חיוך 'מבוגר' ומאד לא אסתטי בשל המרווחים, השיניים העקומות והצבע החום שנמצא במקומות רבים
החיוך הפך 'צעיר' ואטרקטיבי, השיניים בהירות וישרות, וכל המרווחים הועלמו
שיניים עליונות צהובות יחסית, לא סימטריות ובאורכים שונים מקנות מראה לא אסתטי
החיוך נראה אסתטי טבעי ויפה
שיניים חומות מאד ושתי צדדיות עליונות קטנות מדי
חיוך שהוא פשוט מדהים ומושלם, ואי אפשר אפילו 'לחלום' מה היה שם קודם...
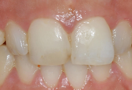
ריבוי רווחים בין השיניים, חוסר סימטריה, וריבוי של כתמים חומים
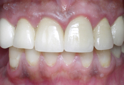
הרווחים נסגרו, יש סימטריה והשיניים לבנות ואסתטיות
רווח ענק בין שתי החותכות העליונות, ושן קטנה חומה בין החותכות התחתונות
המרווח הגדול נסגר, והשן החומה נעקרה. הרווח שנוצר עקב העקירה נסגר בשיטה המיוחדת שלנו לסגירת רווחים
כתרים לא אסתטיים, שמיד מבחינים בהם, וחשיפת חניכיים רבה מדי
שלמות במראה החניכיים, והכתרים החדשים נטמעים לגמרי בין שאר השיניים, ואינם מובחנים כלל
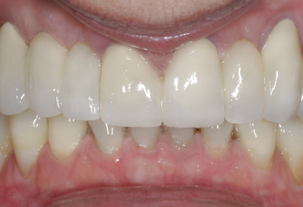
שן עליונה שקועה מאד, שנראה כאילו היא חסרה, וקווי אמצע השיניים העליון והתחתון אינם המשכיים
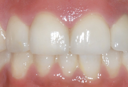
הושג מראה טבעי ומושלם
חסרות שיניים תחתונות רבות, ולמעלה הכתרים עקומים ויש דלקת חניכיים סביבם
השיניים החסרות הושלמו ע"י שתלים, והכתרים העליונים אסתטיים וללא דלקת חניכיים
מרווח גדול בין השיניים החותכות העליונות והתחתונות, שן שבורה וחוסר סימטריה בין שני הצדדים
השיניים בוהקות טבעיות ואסתטיות, ואין יותר מרווחים 'צורמים'
כל מילה מיותרת...
האין זה מדהים?
ראו כמה חום וחוסר אסתטיקה
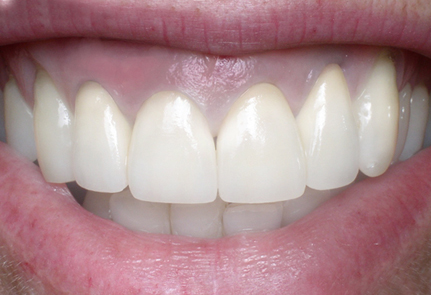
עכשיו החיוך ממש מושלם – לא להאמין!
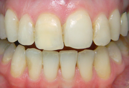
שיניים בצבע בז' וחותכות שאינן דומות כלל ביניהן
חיוך לבן מרשים וטבעי, והחותכות כמובן זהות לחלוטין
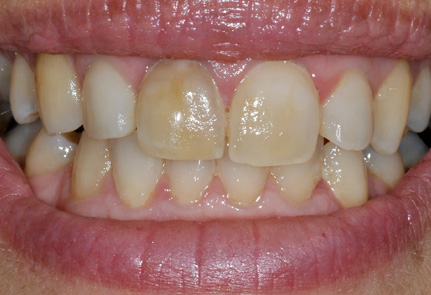
חיוך שנראה די בסדר, אבל רחוק מלהיות מושלם
החיוך ממש מושלם, וגם נראה טבעי לחלוטין
כך היא הגיעה מיד אחרי שקיבלה הצעת נישואין
וכך היא הגיעה לערב הכלולות
שיניים מאד לא אסתטיות: שוני עצום בגודל ובצורה, כמעט לא נראות שיניים תחתונות, והצבע נוראי
מדהים: שיניים צחורות אידאליות בגדלן ובצורתן, וגם השיניים התחתונות נראות מצוין
השיניים השבורות, הכהות ועקומות מנעו מהגברת לחייך לנכדים שלה
אחרי שבוצעו הכתרים, היא לא מפסיקה לחייך... לנכדים וגם לכל השאר
כתרים שלא נראים טוב, ושתי פלטות שמראן זועק
הכתרים הוחלפו, ובמקום הפלטות נעשו השתלות. שימו לב לשילוב המעולה בין הכתרים לשתלים
חיוך מאד 'לא מזמין' עם דלקת חניכיים מפושטת, וסתימות לא אסתטיות
החניכיים הבריאו לחלוטין והסתימות הוחלפו בסתימות חדשות, שלא מבחינים בהן כלל
כך הגיעה אלינו הצעירונת שרצתה לקבל כבר הצעת נישואין
וכשחייכה לחבר שלה עם החיוך המדהים הזה, הצעת הנישואין הגיעה מיד
ארבעה כתרים שבולטים לעין, כיוון שאינם תואמים בגדלם ובצורתם, והשיניים הטבעיות התחתונות קטנות וכהות
הכל לבן, נקי ויפה, וכמובן תואם בגודל ובצורה
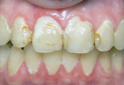
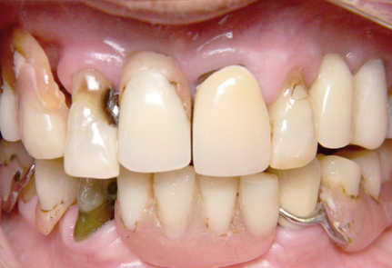
שיניים עליונות צהובות וכתרים לא יפים, והרבה נסיגת חניכיים
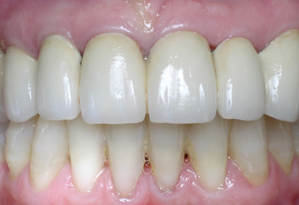
החיוך נראה אסתטי טבעי ויפה, וגם נסיגת החניכיים לא נראית יותר
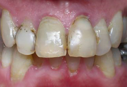
השיניים העליונות כהות מאד, שבורות בחלקן, ועם סדקים
חיוך יפה ואסתטי, ולא ניתן כלל לנחש שאלו כתרים
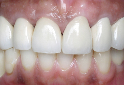
מרווחים גדולים בין השיניים, חלקן בולטות החוצה וחלקן שקועות פנימה
חיוך מושלם באמצעות יישור שיניים בלבד
מספר שיניים חסרות, והקיימות ממש לא נראות טוב
הפה נראה נפלא, אחרי שהלסת העליונה סודרה עם כתרים, והלסת התחתונה טופלה ע"י סתימות בלבד באזור הקדמי
כל השיניים בצבע בז', שן אחת שבורה, והאחרות לא מסודרות יפה
הצבע בהיר טבעי ויפה, יש סימטריה מושלמת והשיניים לבנות ואסתטיות. בלסת התחתונה נעשתה רק הלבנה
כתרים ישנים שמיד מבחינים בהם, מקנים מראה מבוגר לגברת שאכן היא באמת מבוגרת
אבל אחרי החלפת הכתרים בחדשים, היא כבר ממש לא נראית מבוגרת...
שיניים שבורות ולא ישרות, עם דלקת חניכיים רבה
טיפול מקצועי של השיננית שלנו, הלבנה ו-4 ציפויי חרסינה, שינו את התמונה לגמרי
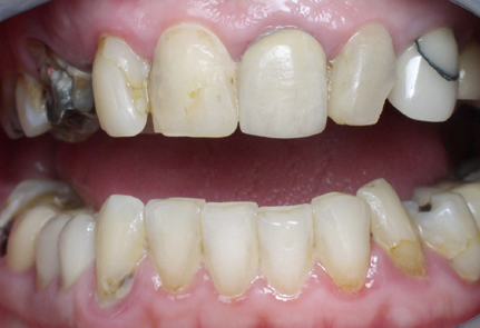
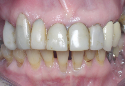
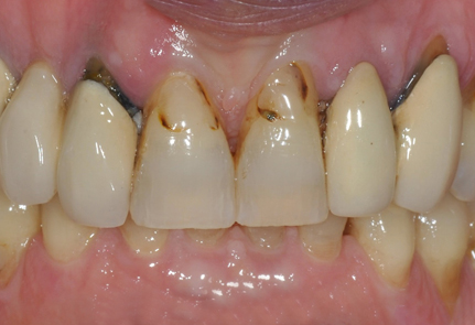
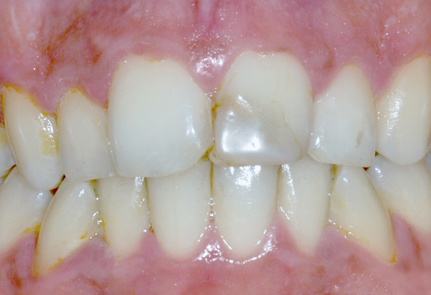
כתרים קדמיים שאינם מתאימים כראוי לשיניים שמתחתן, והשיניים באורכים שונים
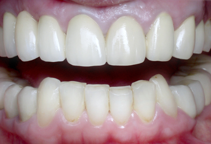
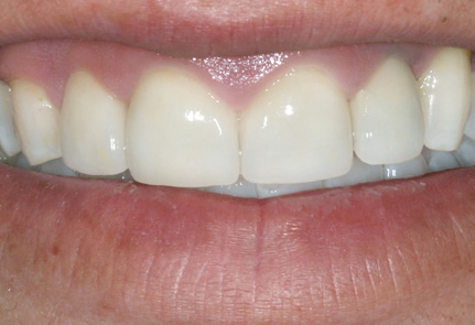
החלפה של ארבעת הכתרים וביצוע הארכת כותרת יצרו חיוך מדהים, ואי אפשר לנחש שיש כאן כתרים
מרפאת שיניים רב-תחומית
בגן הטכנולוגי במלחה – ירושלים
המרפאה מתמחה בשיקומי פה מורכבים על גבי שיניים ושתלים, ומחויבת לאסתטיקה מושלמת. מבצעים את כל סוגי הטיפולים ברפואת שיניים, ברמה הגבוהה ביותר, תחת קורת גג אחת, וע"י מיטב המומחים מהפקולטה לרפואת שיניים בהדסה.